Gum disease is more common than many realize and is often misunderstood. The tricky part? It can start quietly, without pain, so many people delay treatment until it’s too late. Left untreated, it can slowly damage your gums, jawbone, and even your teeth.
In this article, we’ll explain what happens if gum disease is left untreated, the difference between gingivitis and periodontitis, and advanced treatment options available in Sharjah to protect your smile and overall health.
What Is Gum Disease?
Gum disease, or periodontal disease, is an infection that affects the gums and the structures supporting your teeth. It begins when a sticky layer of bacteria called plaque builds up along the gumline.
If plaque isn’t removed, it hardens into tartar, which irritates the gums and allows infection to spread below the surface. Over time, this can affect the jawbone and the teeth themselves.
Why Gum Disease Often Goes Unnoticed
Many people ignore gum problems because:
- Early stages are usually painless
- Bleeding gums are considered “normal.”
- Symptoms develop slowly
- Visible damage appears late
By the time loose teeth, persistent bad breath, or discomfort appear, significant and sometimes irreversible damage has already occurred.
Gingivitis vs. Periodontitis: Understanding the Difference
Not all gum disease is the same. Understanding the difference can help you take action early.

What Is Gingivitis?
Gingivitis is the earliest stage of gum disease. It affects only the gums, without any bone involvement.
Common signs:
- Red, swollen gums
- Bleeding when brushing or flossing
- Mild tenderness
At this stage, gingivitis is fully reversible with proper cleaning and oral hygiene.
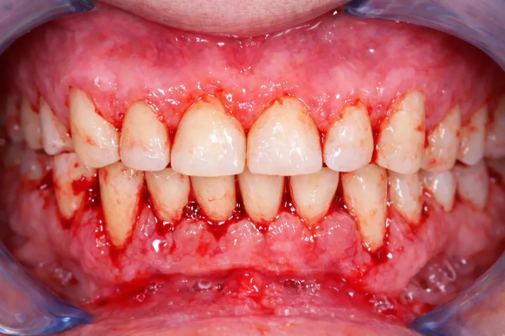
What Is Periodontitis?
Periodontitis develops when gingivitis is left untreated. The infection spreads deeper, affecting gums, connective tissue, and jawbone.
Signs of periodontitis include:
- Deep gum pockets
- Gum recession
- Loose or shifting teeth
- Chronic inflammation
Unlike gingivitis, periodontitis is irreversible, but it can be controlled with professional care.
| Feature | Gingivitis | Periodontitis |
| Gum inflammation | Yes | Yes |
| Bleeding gums | Common | Common |
| Bone loss | No | Yes |
| Periodontal pockets | No | Yes |
| Tooth mobility | No | Yes |
| Reversible | Yes | No |
| Tooth loss risk | Low | High |
How Gum Disease Progresses
Stage 1: Gingivitis (Early Inflammation)
- Swollen, bleeding gums
- No bone damage
- Fully reversible
Stage 2: Infection Spreads
Gums start to detach from teeth, forming periodontal pockets. Bacteria multiply rapidly below the gumline, causing more damage.
Stage 3: Bone and Tissue Loss
Jawbone begins to deteriorate, exposing tooth roots. Teeth become sensitive, and gum recession becomes noticeable.
Stage 4: Loose Teeth & Bite Changes
Teeth may feel unstable, chewing may become difficult, and your bite may shift.
Stage 5: Tooth Loss & Chronic Infection
At this stage, teeth may fall out or require extraction. Gum abscesses may form, and extensive dental rehabilitation might be needed.
Health Risks Beyond the Mouth
Gum disease isn’t just a dental issue—it can affect your whole body. Bacteria and inflammation from infected gums can enter the bloodstream and contribute to:
- Heart disease & stroke: Inflammation may promote arterial plaque
- Diabetes complications: Periodontitis makes blood sugar harder to control
- Respiratory infections: Bacteria may reach the lungs
- Pregnancy complications: Linked to preterm birth and low birth weight
Taking care of your gums is an investment in your overall health.

Signs You May Have Advanced Periodontitis
If you notice:
- Frequent bleeding gums
- Teeth looking longer due to gum recession
- Pus around the gumline
- Persistent bad breath
- Loose or shifting teeth
- Pain while chewing
…it’s time to see a specialist. Early intervention is crucial.
How Dentists Diagnose Gum Disease
A thorough evaluation usually includes:
- Periodontal probing to measure gum pockets
- Digital X-rays to assess bone loss
- Checking for gum recession and tooth mobility
- Reviewing your medical history for risk factors
Advanced Periodontitis Treatments in Sharjah
Sharjah offers modern periodontal care with advanced technology and expert specialists.
Non-Surgical Treatments
- Scaling & Root Planing: Deep cleaning below the gumline to remove plaque and tartar
- Antibiotic Therapy: Local or oral antibiotics reduce infection
Surgical Treatments
- Flap Surgery: Opens deep pockets for cleaning and reduces infection
- Bone Grafting: Restores lost jawbone and stabilizes teeth
- Guided Tissue Regeneration: Encourages regrowth of bone and gum tissue
- Gum Grafting: Covers exposed roots, reduces sensitivity, and improves appearance
- Laser Gum Treatment: Precise, minimally invasive, and faster healing
Sharjah clinics provide personalized care using modern tools to ensure safe, effective outcomes.
Preventing Gum Disease From Returning
- Brush twice daily
- Floss or use interdental cleaners daily
- Attend regular periodontal checkups
- Avoid smoking
- Manage health conditions like diabetes
Frequently Asked Questions (FAQs)
A: No. Gum disease does not heal on its own. Mild gum disease (gingivitis) can be reversed with professional cleaning and good daily oral care. More advanced gum disease (periodontitis) cannot be reversed, but it can be managed and kept from getting worse.
A: Most treatments are comfortable and manageable. Dentists use local anesthesia to reduce discomfort, and many patients feel only mild soreness afterward. Modern options, including laser treatments, also help make recovery quicker and easier.
A: Bleeding gums, bad breath, or mild swelling may seem minor, but they can be early warning signs. If you notice loose teeth, gum recession, pus, or pain while chewing
A: Yes. Early and proper treatment can slow or stop further damage and help preserve your natural teeth for many years.
Final Thoughts
Gum disease doesn’t cause damage overnight—but once it advances, the effects can be permanent. The good news is that with early diagnosis and advanced gum treatments available in Sharjah, you can stop progression, protect your natural teeth, and safeguard your overall health. Healthy gums are the foundation of a strong, confident smile—and ignoring them is a risk you don’t need to take.
👉 Book your gum health consultation today and take control of your oral health before the damage becomes irreversible.

References
- What is Gingivitis & How is It Treated?– Monterey Peninsula Dental Group
- Gum health: Causes and mechanisms– Haleon Health Partner
- About Periodontal (Gum) Disease– Centers for Disease Control and Prevention
- Advanced Gum Disease: Treatment Options in Sharjah– Article Ted
- Periodontal diseases, cardiovascular diseases, diabetes, and respiratory diseases– National Library of Medicine
Please subscribe to our social channels for updates related to dental care and oral health.
Instagram: cdental2025
Facebook: CDental
YouTube: C-Dental Clinic









Leave a Reply