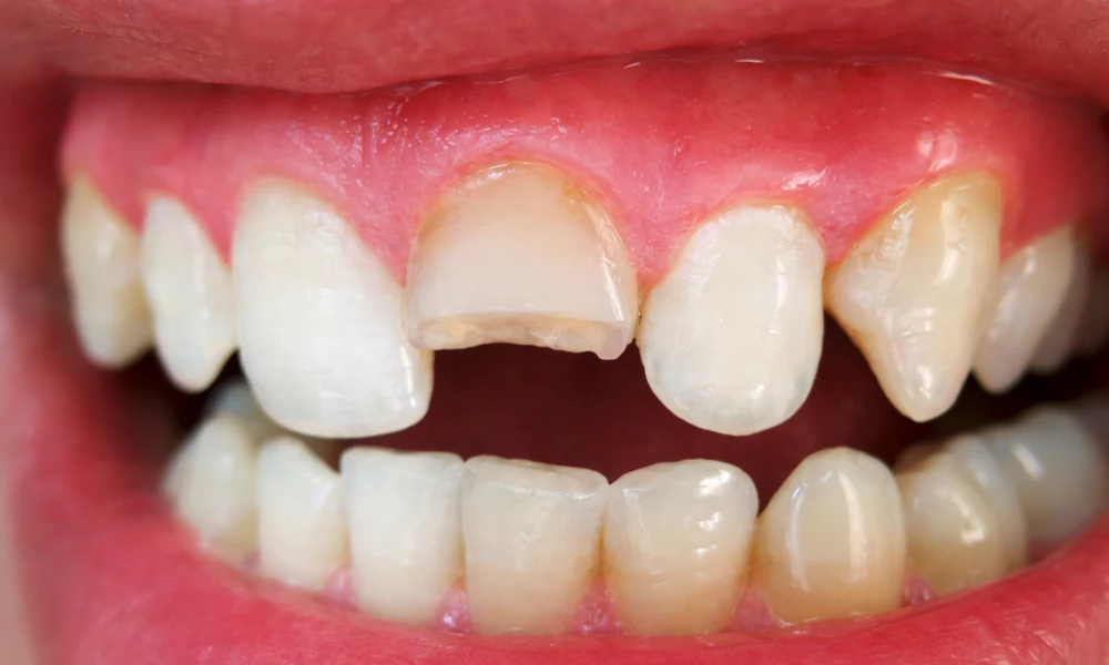
A chipped tooth is a common dental issue that can occur unexpectedly, whether from biting hard food, an accident, or underlying dental problems. While minor chips may seem harmless, delaying treatment can lead to sensitivity, infection, or further structural damage.
At C Dental Clinic, Sharjah, we provide expert diagnosis and advanced treatment options to restore both the function and appearance of your teeth quickly and safely.
What Causes a Chipped Tooth?
Understanding the cause helps prevent future damage and ensures the right treatment approach.
Common causes include:
- Biting hard foods: Ice, nuts, and hard candies can create stress fractures in enamel
- Accidents or trauma: Sports injuries, falls, or sudden impact
- Tooth decay: Weakens tooth structure, making it prone to breaking
- Teeth grinding (bruxism): Causes enamel wear and microfractures
- Age-related wear: Natural enamel erosion over time
At C Dental Clinic, Sharjah, we identify the root cause before recommending treatment to prevent recurrence.
Signs You May Have a Chipped Tooth
Chipped teeth are not always painful, which is why many patients ignore them initially.
Watch for:
- Visible crack or missing portion of the tooth
- Rough or sharp edges irritating the tongue or cheeks
- Sensitivity to hot, cold, or sweet foods
- Pain while chewing
- Gum irritation or swelling around the affected tooth
Even small chips should be evaluated early to avoid complications.

What to Do Immediately After Chipping a Tooth
Taking the right steps can reduce damage and discomfort before your dental visit.
Follow these steps:
- Rinse your mouth with warm water to clean the area
- Apply a cold compress to reduce swelling
- Take pain relief (if needed), such as ibuprofen
- Avoid chewing on the affected side
- Save any broken pieces and bring them to your dentist
- Book a dental appointment immediately
Prompt care significantly improves treatment outcomes.
Can a Chipped Tooth Heal on Its Own?
No. Unlike bones, teeth cannot regenerate or heal naturally.
Even a small chip can worsen over time, leading to:
- Increased sensitivity
- Bacterial infection
- Structural weakening
Professional treatment is always recommended.

Professional Treatments for a Chipped Tooth
The right treatment depends on the severity and location of the damage.
1. Dental Bonding (Best for Minor Chips)
- Quick, cost-effective solution
- Tooth-colored resin restores shape and appearance
- Completed in a single visit
2. Porcelain Veneers (Front Teeth Aesthetics)
- Ideal for visible chips
- Long-lasting, stain-resistant
- Provides a natural, uniform look
3. Dental Crowns (Severe Damage)
- Covers and protects the entire tooth
- Restores strength and functionality
- Common for molars and heavily damaged teeth
4. Root Canal Treatment (If Nerve Is Exposed)
- Removes infected pulp
- Prevents further infection
- Followed by crown placement
5. Emergency Dental Care
- For large fractures or trauma
- Immediate stabilization and treatment
At C Dental Clinic, Sharjah, we tailor treatment plans based on your specific condition and comfort.
How Much Does It Cost to Fix a Chipped Tooth in Sharjah?
Costs vary depending on the treatment required:
- Minor bonding: Lower cost
- Veneers or crowns: Moderate to higher cost
- Root canal + crown: Higher cost
A proper consultation ensures accurate diagnosis and transparent pricing.
How to Prevent Chipped Teeth
Prevention plays a key role in long-term dental health.
- Avoid chewing hard objects (ice, pens, hard candy)
- Wear a mouthguard during sports
- Treat cavities early
- Use night guards for teeth grinding
- Maintain proper oral hygiene
- Schedule regular dental checkups
Why Choose C Dental Clinic, Sharjah?
We focus on both immediate treatment and long-term oral health.
Our approach includes:
- Advanced diagnostics: Digital imaging for precise evaluation
- Personalized care: Treatment tailored to your needs
- Comfort-focused procedures: Minimal pain with modern techniques
- Emergency availability: Same-day appointments for urgent cases
What to Expect During Your Visit
- Detailed examination and X-rays
- Clear explanation of treatment options
- Same-day treatment (in most cases)
- Post-treatment care and guidance
Our goal is to restore your smile quickly and effectively.
Common Myths About Chipped Teeth
Myth 1: Small chips don’t need treatment.
Even minor damage can lead to bigger issues over time
Myth 2: Treatment is painful.
Modern procedures are quick and comfortable
Myth 3: Only front teeth matter.
All teeth are essential for proper chewing and alignment
When Should You See a Dentist Immediately?
Seek urgent care if you experience:
- Severe pain
- Large fracture
- Bleeding or swelling
- Exposed nerve
Delaying treatment can lead to infection or tooth loss.
Frequently Asked Questions
A: A chipped tooth may not always be an emergency, but it depends on the severity. If there is severe pain, bleeding, or the inner nerve is exposed, you should seek immediate dental care. Even minor chips should be evaluated promptly to prevent further damage or infection.
A: Yes, most chipped teeth can be permanently restored using treatments such as dental bonding, veneers, or crowns. The durability depends on the severity of the damage and the treatment chosen, but with proper care, results can last many years.
A: In most cases, fixing a chipped tooth is painless. Procedures like dental bonding or veneers are minimally invasive and usually require little to no anesthesia. For more complex treatments, dentists use local anesthesia to ensure a comfortable experien
A: After chipping a tooth, avoid hard, crunchy, sticky, or chewy foods such as nuts, ice, candies, and chewing gum. These can worsen the damage. Stick to soft foods and avoid chewing on the affected side until your tooth is treated.
Conclusion
A chipped tooth is more than just a cosmetic concern; it can impact your oral health, comfort, and confidence. Early diagnosis and professional treatment are essential to prevent complications.
At C Dental Clinic, Sharjah, we provide expert care for chipped and broken teeth using advanced techniques tailored to your needs. Whether it’s a minor chip or a serious fracture, timely treatment ensures long-lasting results.
👉Book your appointment today and restore your smile with confidence.

References
- What to Do If You Chip or Break a Tooth– Healthline
- Chipped or Broken Tooth: Causes, Symptoms & Repair– Sensodyne
- Four Options For Fixing A Chipped Tooth Fast– Colgate
- Chipped, Cracked, or Knocked-Out Tooth? Here’s What to Do– My Family Dentist
Please subscribe to our social channels for updates related to dental care and oral health.
Instagram: cdental2025
Facebook: CDental
YouTube: C-Dental Clinic








Leave a Reply